Implantologia i ortodoncja
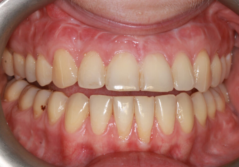
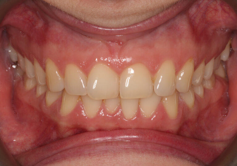
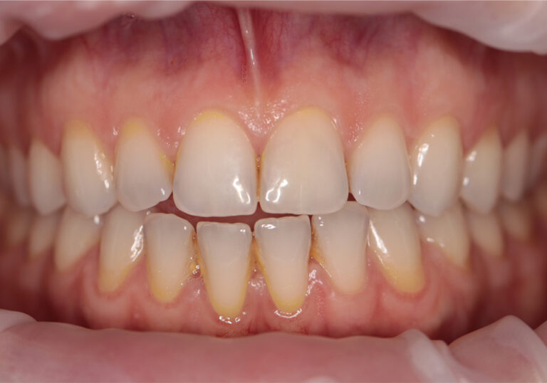
Metamorfozy naszych pacjetów
Leczymy możliwie szybko, czasami nawet podczas jednej wizyty. Dążymy jednak do długotrwałych efektów pracy. Dlatego wielką wagę przykładamy do starannej diagnozy i leczenia zgodnego z najwyższymi standardami. Stosujemy także materiały wyłącznie doskonałej jakości oraz nowoczesne technologie. Leczenie stomatologiczne ma sens, gdy pacjenci mogą powracać jedynie na badania profilaktyczne.
Zapraszamy do zapoznania się z naszymi wybranymi metamorfozami implantologicznymi oraz ortodontycznymi.
Kliknij w zdjęcie aby zobaczyć efekt końcowy.
- Wszystkie
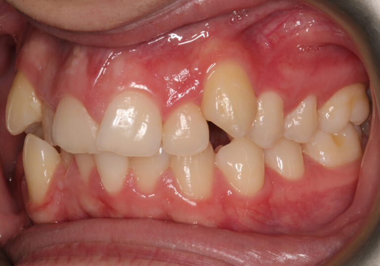
- Aparat ortodontyczny Deamona
- Inne przypadki
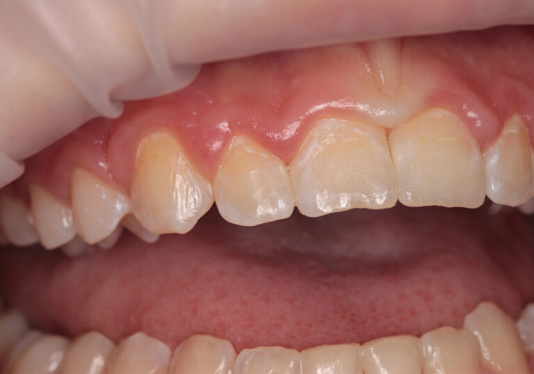
- Odbudowa zębów - bonding
- Ortodoncja
- Protetyka
- Wybielanie
Nakładki Clear Aligner, Wybielanie, Odbudowa estetyczna
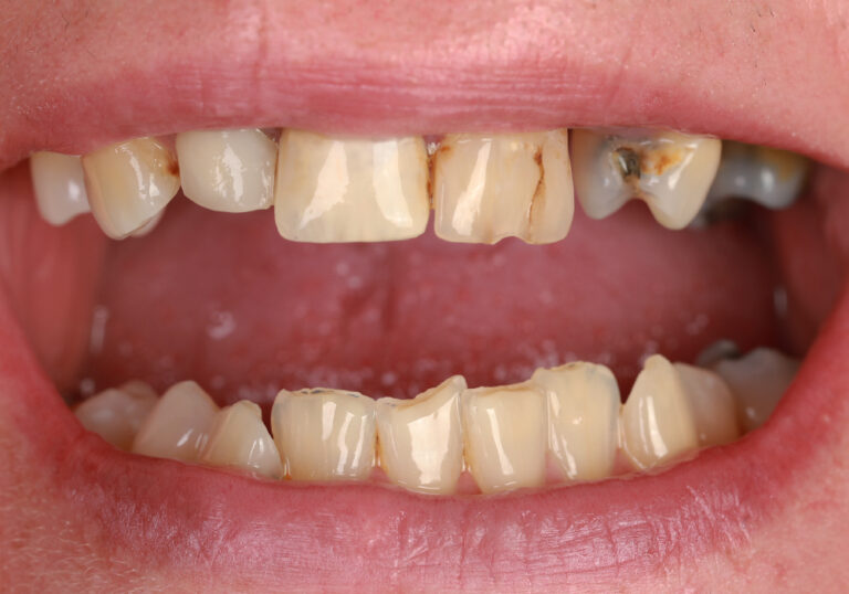
Metamorfoza protetyczna
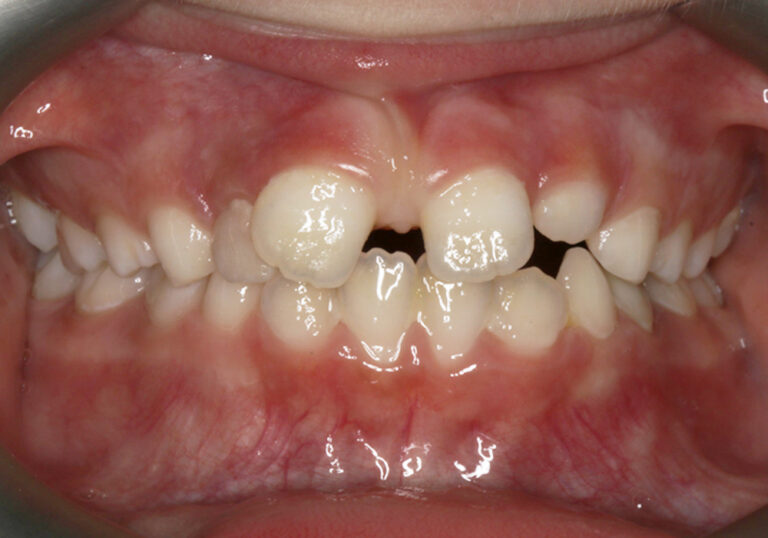
Metamorfoza ortodentyczna
Metamorfoza ortodentyczna
Metamorfoza ortodentyczna
Korony protetyczne
Ortodoncja
Ortodoncja
Wybielanie przed i po
Wybielanie zębów lampą Beyond Advanced Plus oraz leczenie ortodentyczne
Wybielanie zębów lampą Beyond Advanced Plus oraz leczenie ortodentyczne
Wybielanie zębów lampą Beyond Plus Advanced oraz leczenie ortodentyczne
Zawężone łuki, leczenie ortodontyczne aparatem stałym, wybielanie i odbudowa kompozytowa
Protetyka – korony pełnoceramiczne przed i po
Wybielanie
Wybielanie
Zabieg infiltracji – usuwanie białych plam – jeden zabieg
Aparat stały tradycyjny – metamorfoza
Aparat stały tradycyjny – metamorfoza
Aparat stały tradycyjny – metamorfoza
Pacjent bez zawiązków dwójek, leczenie ortodontyczne: korekta wady zgryzu – aparat tradycyjny
Leczenie ortodontyczne kamuflażowe nakładkami Ca odbudowa kompozytowa (bonding)
Ortodontyczne leczenie aparatem stałym
Ortodoncja aparatem stałym
Leczenie aparatem stałym
Protetyka – korony pełnoceramiczne
Pacjentka leczona ortodontycznie i nieskutecznie w innym gabinecie. Po przejęciu leczenia doprowadziliśmy do satysfakcjonującego zakończenia. Leczenie i bonding.
Aparat stały – Ortodoncja
Ortodoncja – aparat stały
Leczenie kamuflażowe przy pomocy koron pełnoceramicznych i ortodoncji z racji na brak możliwości leczenia operacyjnego
Leczenie interdyscyplinarne
Korony i licówki porcelanowe
Leczenie aparatem stałym oraz wybielanie lampą Beyond
Leczenie aparatem metalowym oraz bonding w łuku górnym
Metamorfoza ortodontyczna
Leczenie ortodontyczne
Ortodoncja – przejęcie i skuteczne zakończenie leczenia ortodontycznego
Leczenie kamuflażowe – odbudowa kompozytem flow injection
Aparat metalowy tradycyjny oraz wybielanie Beyond
Protetyka metamorfoza – korony pełnoceramiczne
Metamorfoza ortodontyczna
Leczenie ortodontyczne
Pacjent w trakcie leczenia protetycznego. Zastosowano korony pełnoceramiczne.
Ortodoncja – aparat stały
Ortodoncja – aparat stały
Wybielanie przed i po
Ortodoncja – aparat stały tradycyjny + wybielanie
Ortodoncja – aparat stały tradycyjny
Ortodoncja – metamorfoza
Ortodoncja – metamorfoza
Ortodoncja – metamorfoza
Wybielanie zębów
Ortodoncja – aparat stały bez usuwania zębów
Ortodoncja – aparat stały bez usuwania zębów
Ortodoncja – aparat stały bez usuwania zębów
Protetyka – korony pełnoceramiczne
Leczenie ortodontyczne z bondingiem jedynek
Leczenie ortodontyczne
Leczenie ortodontyczne
Leczenie ortodontyczne
Korony pełnoceramiczne i licówki
Metamorfoza ortodoncja
Metamorfoza ortodoncja
Metamorfoza ortodoncja
Metamorfoza ortodoncja
Metamorfoza ortodoncja
Metamorfoza ortodoncja
Metamorfoza ortodoncja – bez usuwania zębów
Metamorfoza ortodoncja
Aparat stały bez usuwania zębów
Korony pełnoceramiczne
Ortodoncja oraz wybielanie, przed odbudową estetyczną
Ortodoncja z koronami pełnoceramicznymi
Ortodoncja
Licówki i korony pełnoceramiczne
Ortodoncja
Ortodoncja
Leczenie kompleksowe ortodontyczne i protetyczne – korony
Leczenie ortodontyczne aparatem Damona
Leczenie ortodontyczne aparatem tradycyjnym
Leczenie ortodontyczne aparatem tradycyjnym
Leczenie ortodontyczne aparatem tradycyjnym
Leczenie ortodontyczne i odbudowa estetyczna – bonding
Leczenie ortodontyczne zakończone odbudową estetyczną
Bonding – odbudowa estetyczna
Ortodoncja i bonding – pacjent w trakcie odbudowy. Kolor dobrany do naturalnego koloru pacjenta.
Aparat metalowy stały – bez usuwania zębów
Odbudowa kompozytowa, bonding, poprzedzone Higienizacją
Leczenie ortodontyczne aparatem Damona – czas leczenia 1,5 roku.
Leczenie aparatem metalowym tradycyjnym
Leczenie ortodontyczne aparatem Damona, wybielanie lampą Beyond
Aparat metalowy tradycyjny, wybielanie, bonding
Aparat metalowy tradycyjny
Pokrycie recesji
Leczenie kompleksowe ortodoncja, aparat tradycyjny, wybielanie, zabieg infiltracji szkliwa, bonding
Aparat metalowy, odbudowa kompozytowa
Leczenie ortodontyczne, bonding