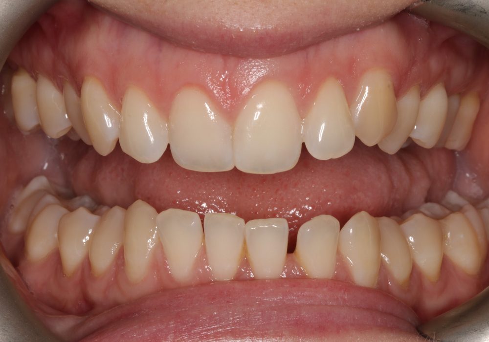
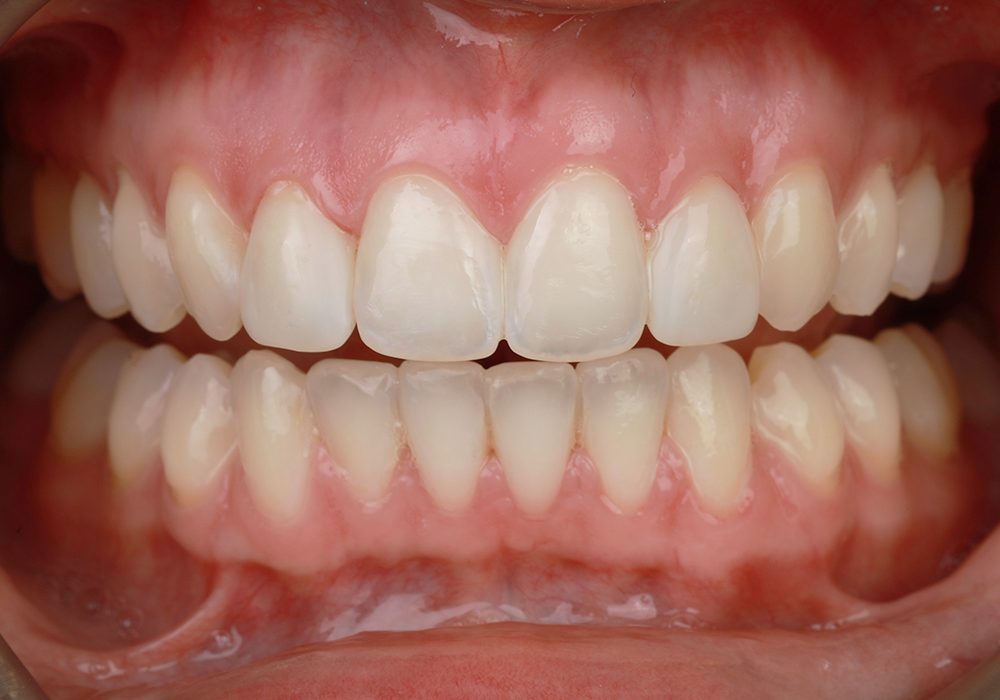
Zawężone łuki, leczenie ortodontyczne aparatem stałym, wybielanie i odbudowa kompozytowa

Przed copy 4
Po copy 4
Przed
Po
Kategoria: Protetyka, Ortodoncja, Wybielanie

Zawężone łuki, leczenie ortodontyczne aparatem stałym, wybielanie i odbudowa kompozytowa

Lekarz prowadzący: Katarzyna Ratyńska
Lekarz prowadzący: Ewa Siudak

Shopping Cart
Scroll to Top