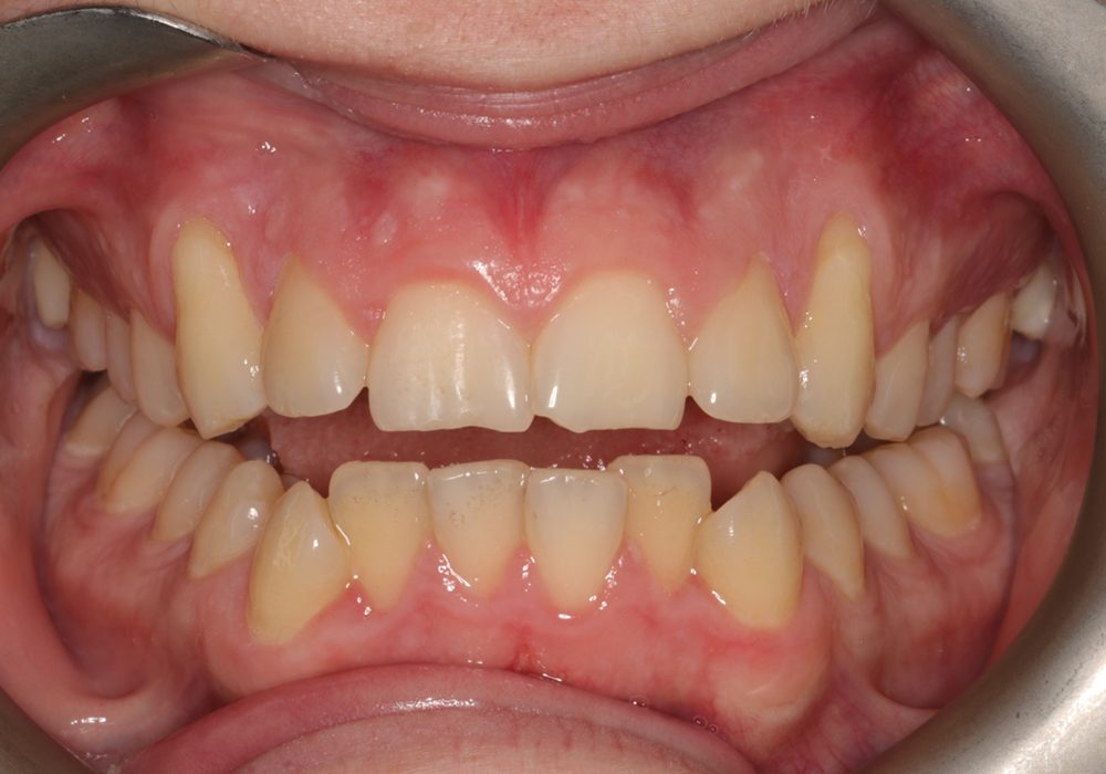
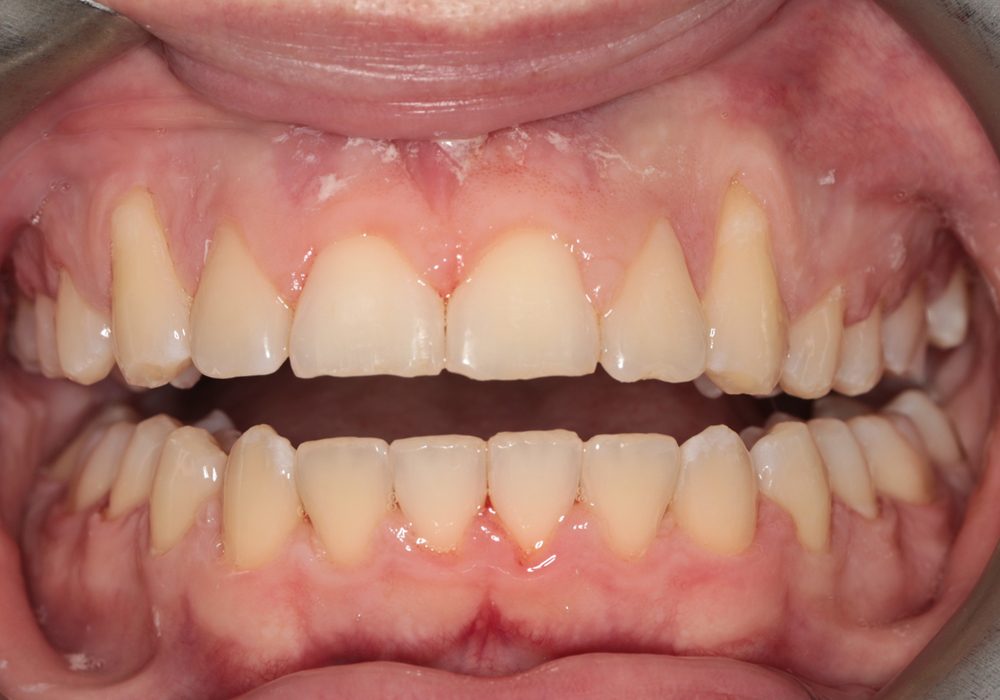
Metamorfoza ortodontyczna

Przed copy 3
Po copy 3
Przed
Po
Kategoria: Ortodoncja

Metamorfoza ortodontyczna

Leczenie kamuflażowe – odbudowa kompozytem flow injection

Shopping Cart
Scroll to Top