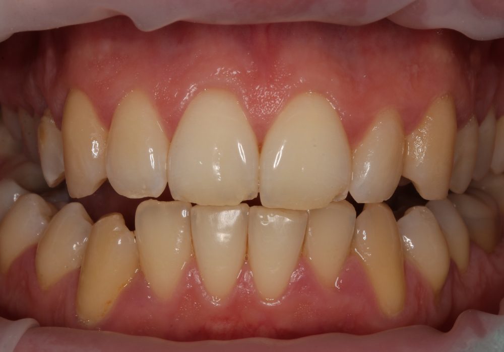
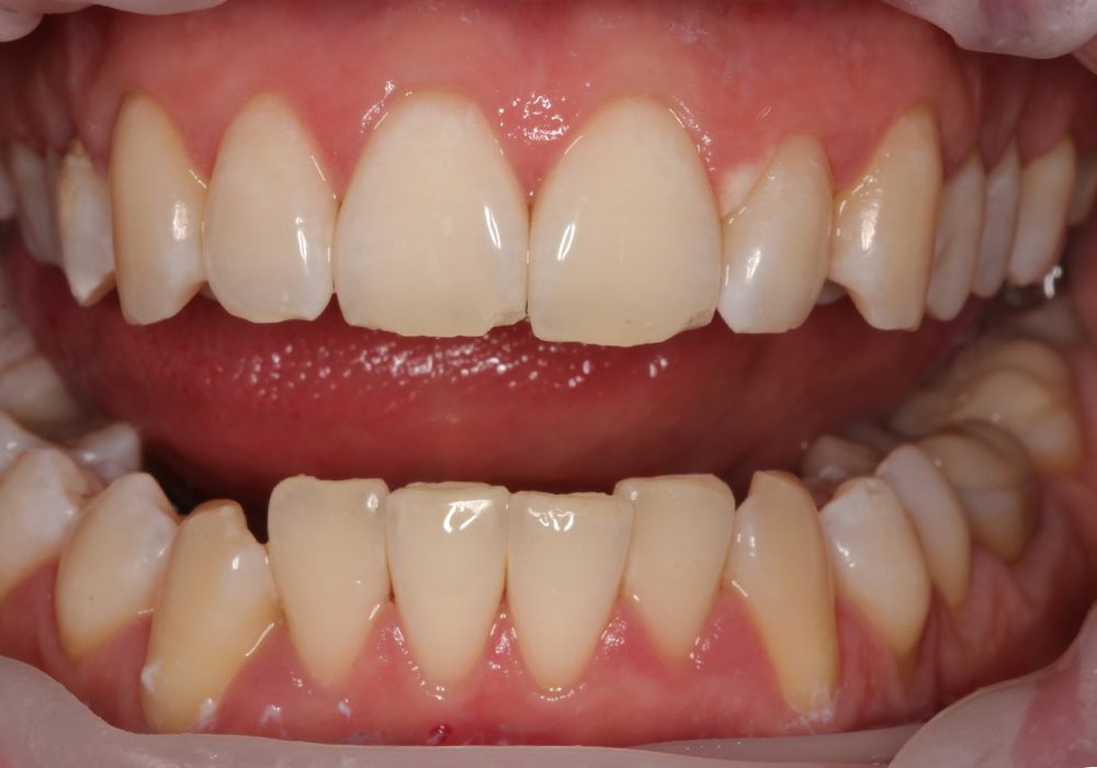
Wybielanie zębów

Shopping Cart
Scroll to Top