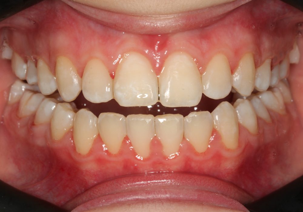
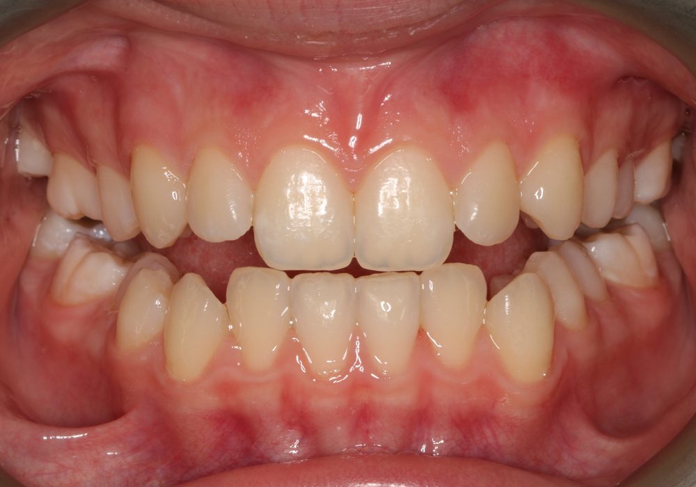
Leczenie aparatem stałym

Shopping Cart
Scroll to Top