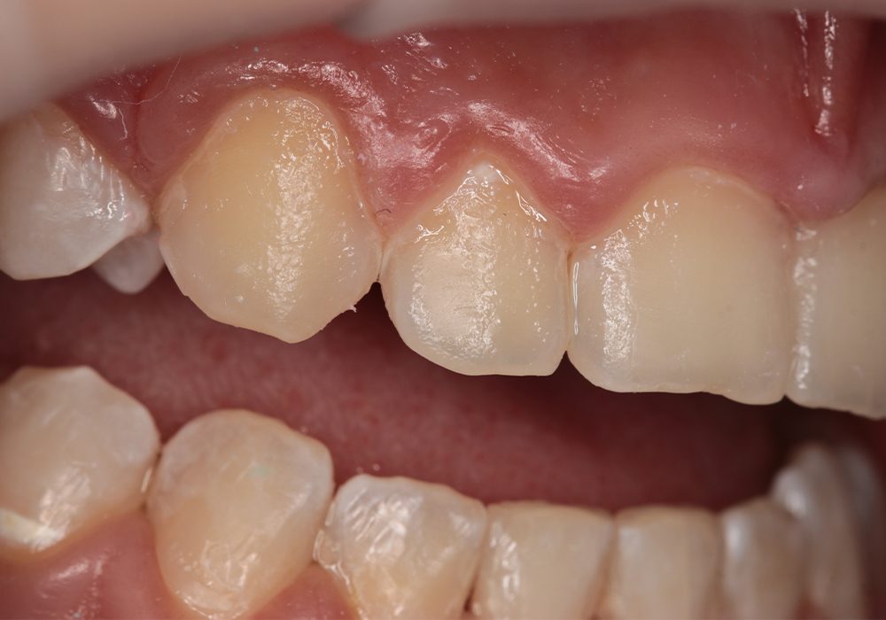
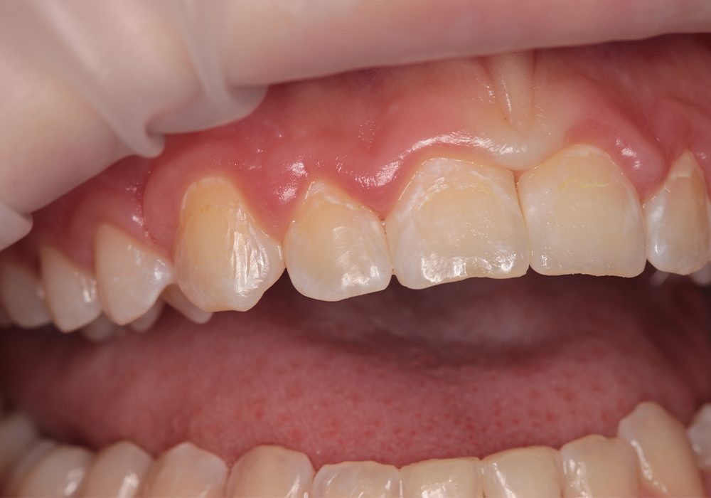
Zabieg infiltracji – usuwanie białych plam – jeden zabieg

Przed copy
Po copy
Przed
Po
Kategoria: Wybielanie

Zabieg infiltracji – usuwanie białych plam – jeden zabieg

Wykonanie: Marta Tyc

Shopping Cart
Scroll to Top