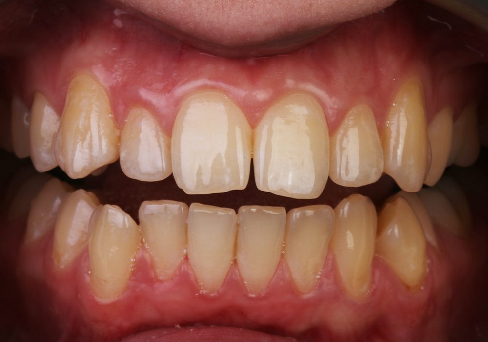
Wybielanie zębów lampą Beyond Advanced Plus oraz leczenie ortodentyczne

Przed copy
Po copy
Przed
Po
Shopping Cart
Scroll to Top