Leczenie aparatem stałym oraz wybielanie lampą Beyond

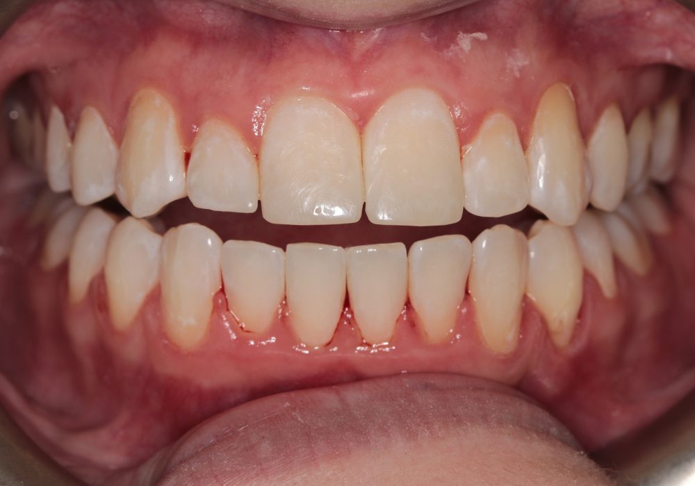
Przed
Po
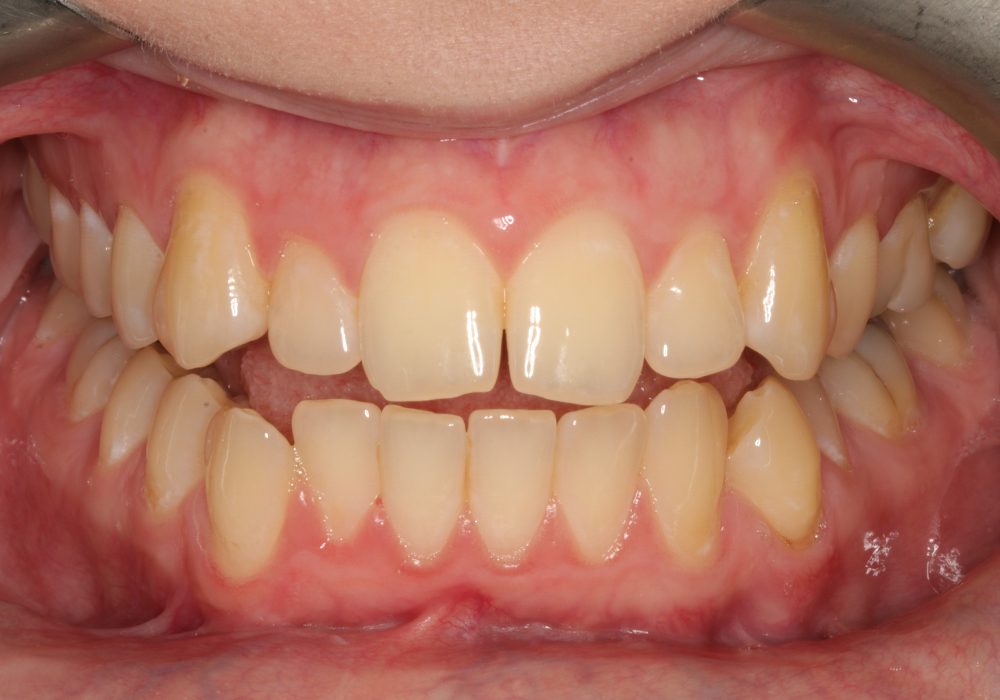
Przed
Po
Kategoria: Ortodoncja, Wybielanie

Leczenie aparatem stałym oraz wybielanie lampą Beyond

Lekarz prowadzący: Katarzyna Ratyńska

Shopping Cart
Scroll to Top