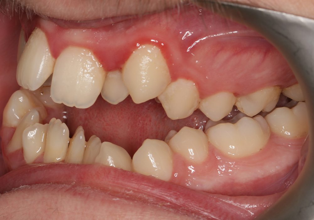
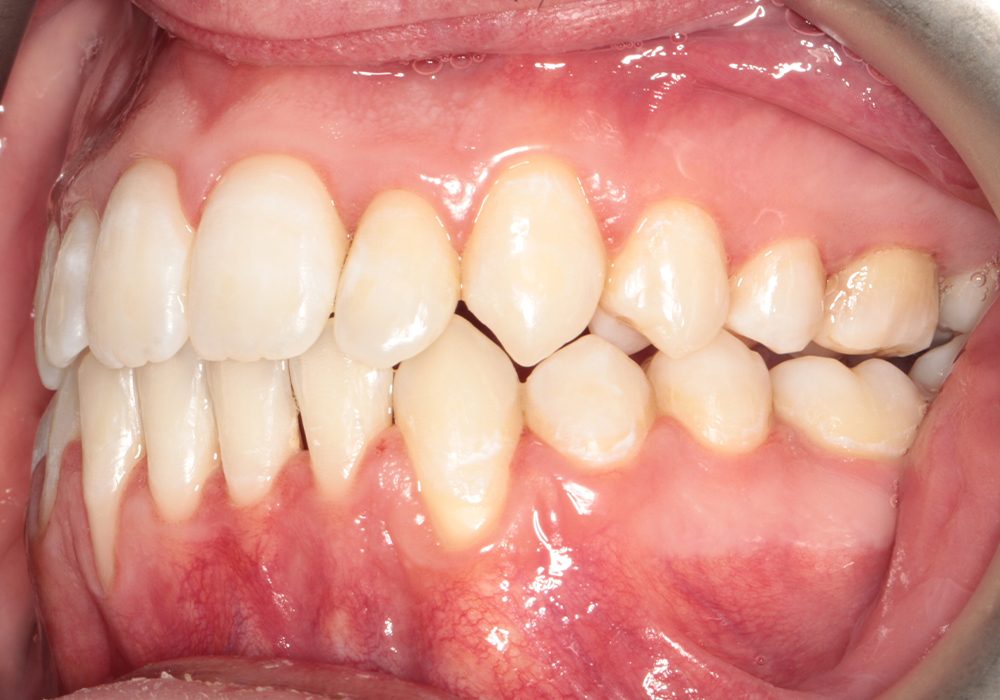
Ortodoncja – aparat stały bez usuwania zębów

Przed
Po
Przed
Po
Kategoria: Ortodoncja

Ortodoncja – aparat stały bez usuwania zębów

Lekarz prowadzący: Katarzyna Ratyńska

Shopping Cart
Scroll to Top