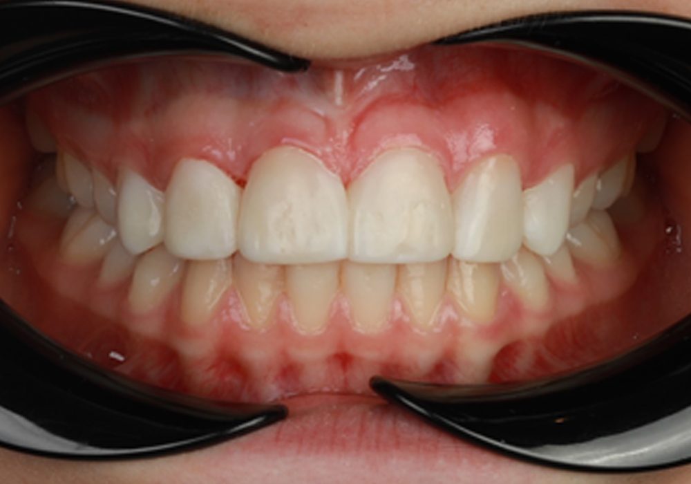
Leczenie kamuflażowe – odbudowa kompozytem flow injection

Przed
Po
Przed
Po
Kategoria: Ortodoncja, Inne przypadki

Leczenie kamuflażowe – odbudowa kompozytem flow injection

Lekarz prowadzący: Katarzyna Ratyńska

Shopping Cart
Scroll to Top