Ortodoncja – aparat stały

Przed copy
Po copy
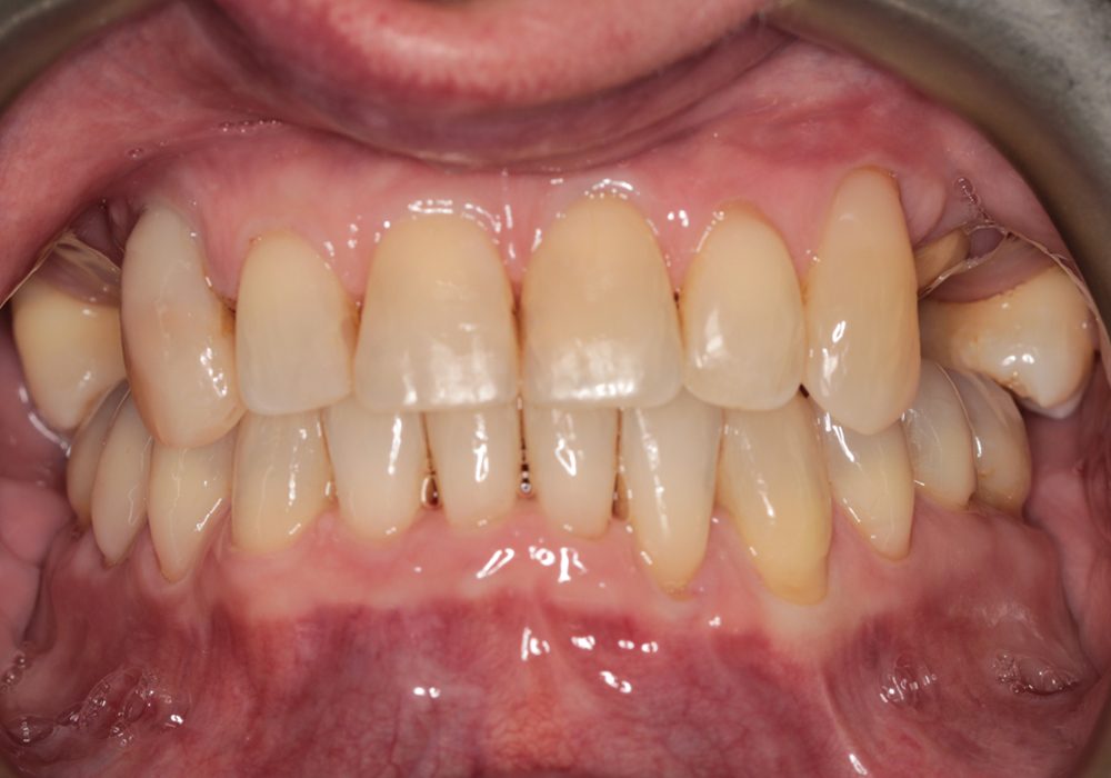
Przed
Po
Kategoria: Ortodoncja

Ortodoncja – aparat stały

Lekarz prowadzący: Katarzyna Ratyńska

Shopping Cart
Scroll to Top