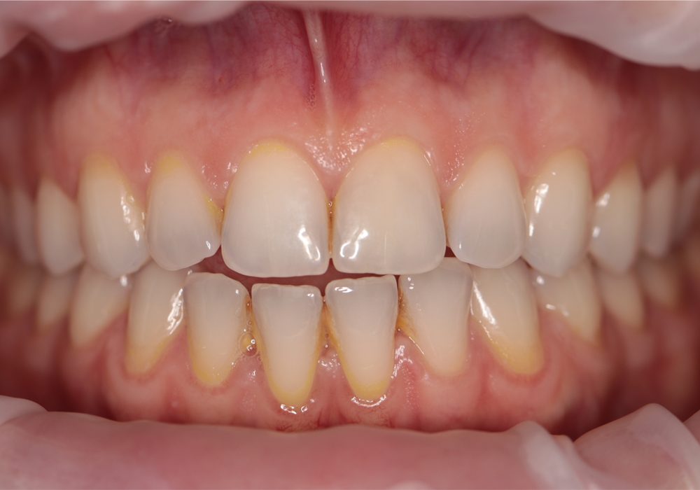
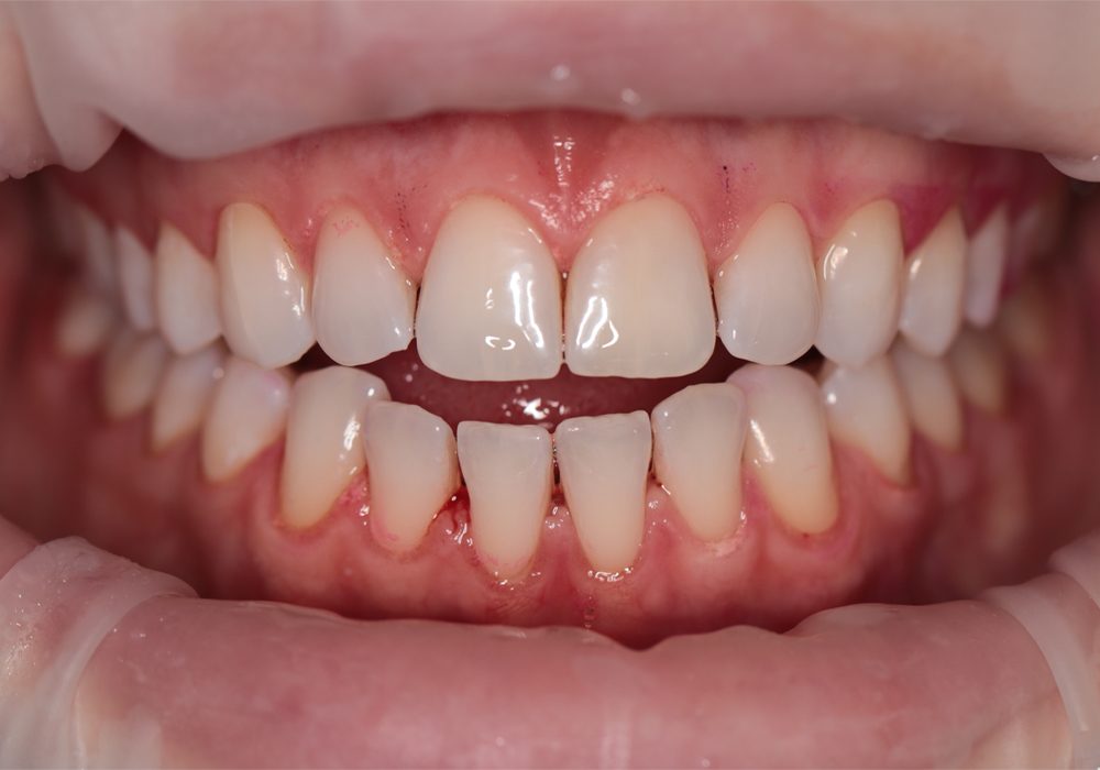
Wybielanie przed i po

Shopping Cart
Scroll to Top