Ortodoncja aparatem stałym

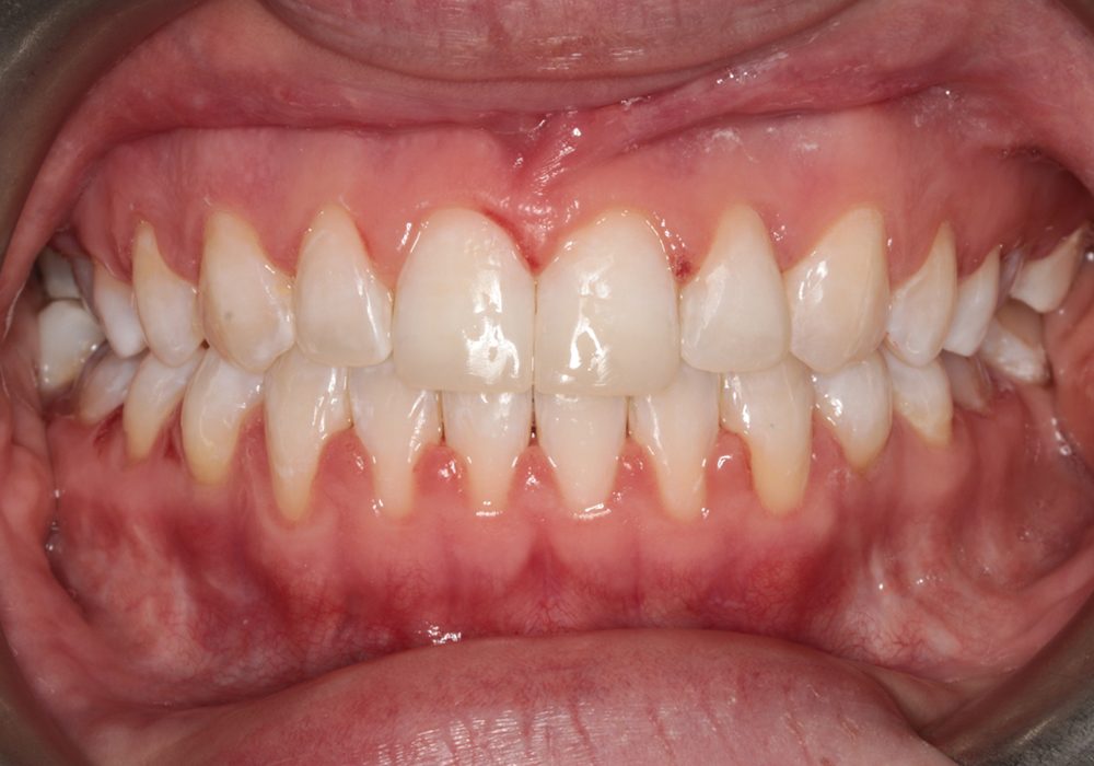
Przed
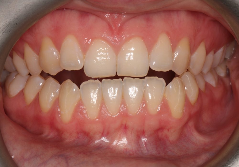
Po
Przed
Po
Kategoria: Ortodoncja

Ortodoncja aparatem stałym

Lekarz prowadzący: Katarzyna Ratyńska

Shopping Cart
Scroll to Top