Leczenie ortodontyczne kamuflażowe nakładkami Ca odbudowa kompozytowa (bonding)

Przedv2
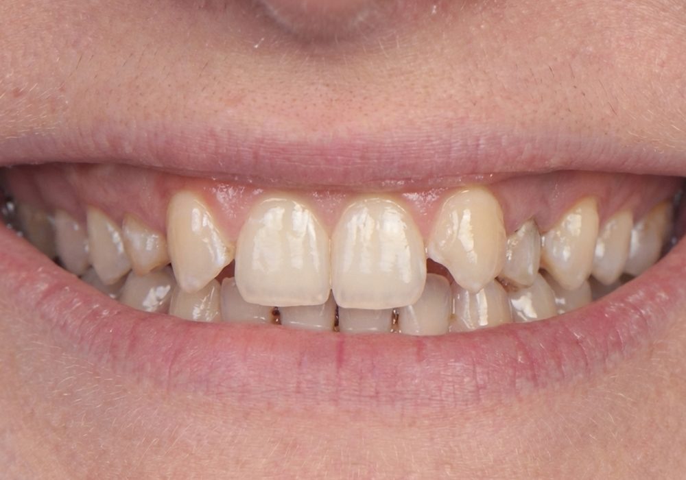
Po
Przed
Po
Kategoria: Ortodoncja, Odbudowa zębów - bonding

Leczenie ortodontyczne kamuflażowe nakładkami Ca odbudowa kompozytowa (bonding)

Ortodoncja: Katarzyna Ratyńska
Odbudowa estetyczna: Natalia Zajączkowska

Shopping Cart
Scroll to Top