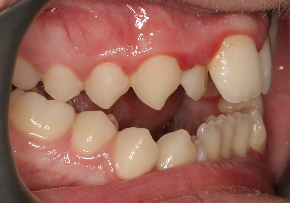
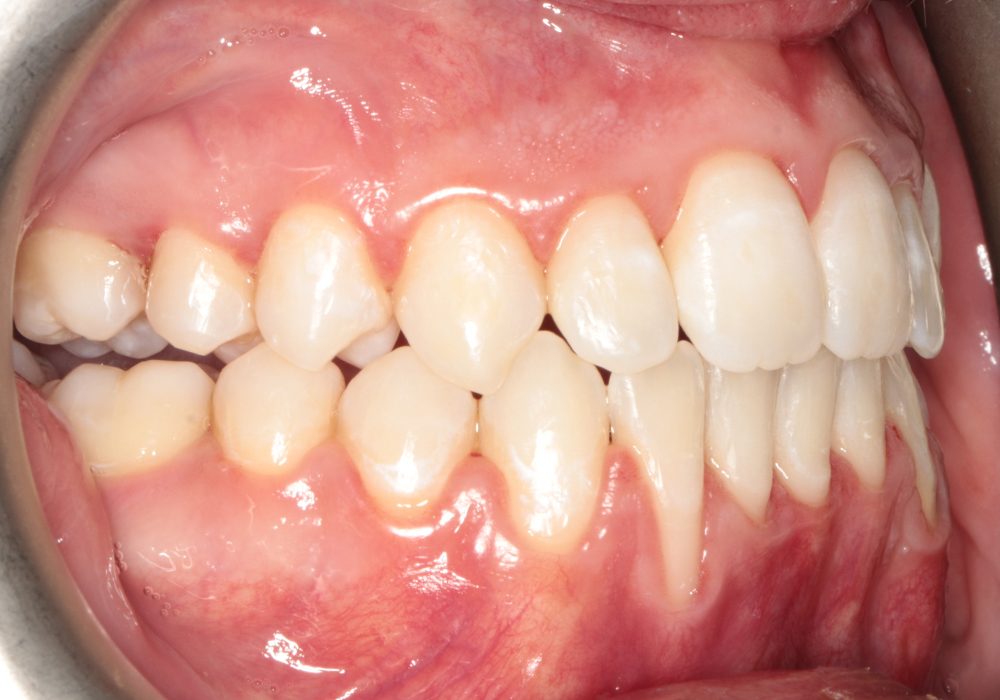
Ortodoncja – metamorfoza

Przed copy
Po copy
Przed
Po
Shopping Cart
Scroll to Top