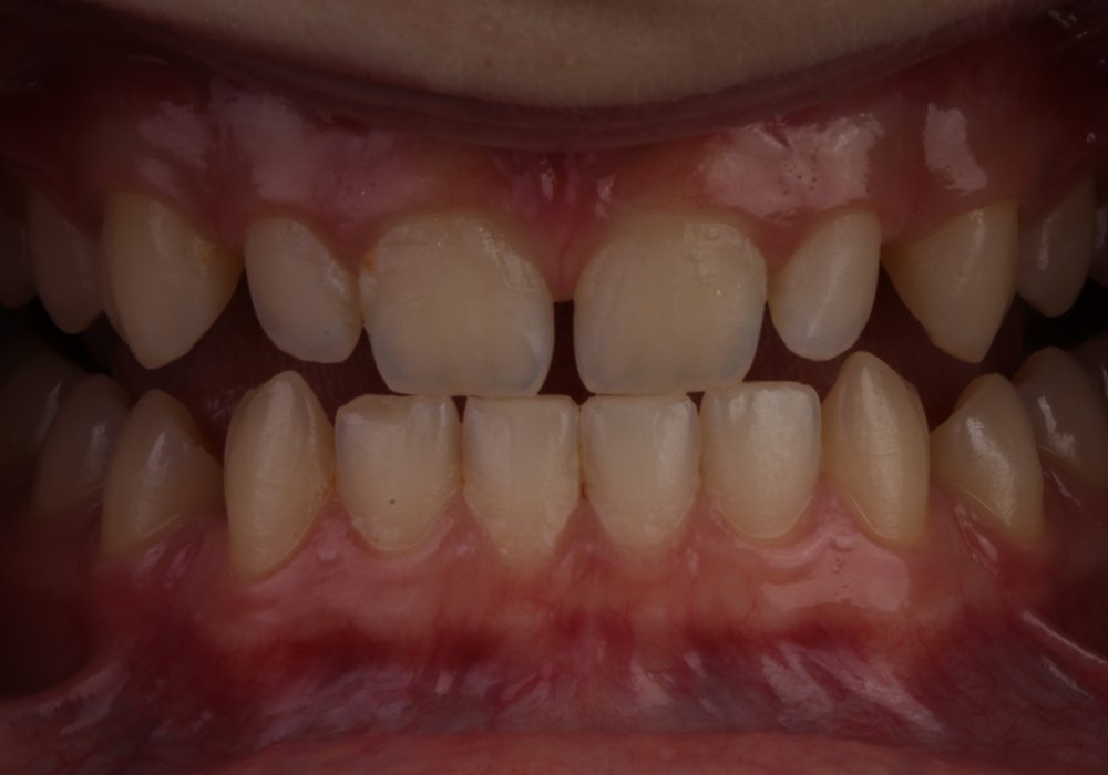
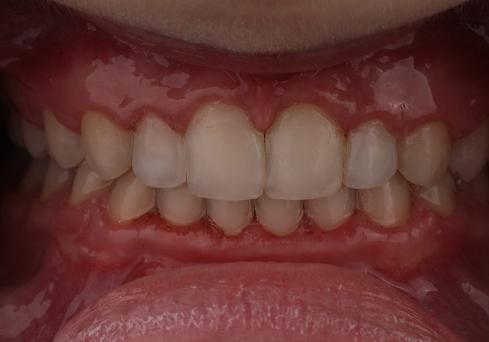
Leczenie ortodontyczne z bondingiem jedynek

Przed copy 3
Po copy 3
Przed
Po
Kategoria: Ortodoncja, Odbudowa zębów - bonding

Leczenie ortodontyczne z bondingiem jedynek

Lekarz prowadzący: Katarzyna Ratyńska

Shopping Cart
Scroll to Top