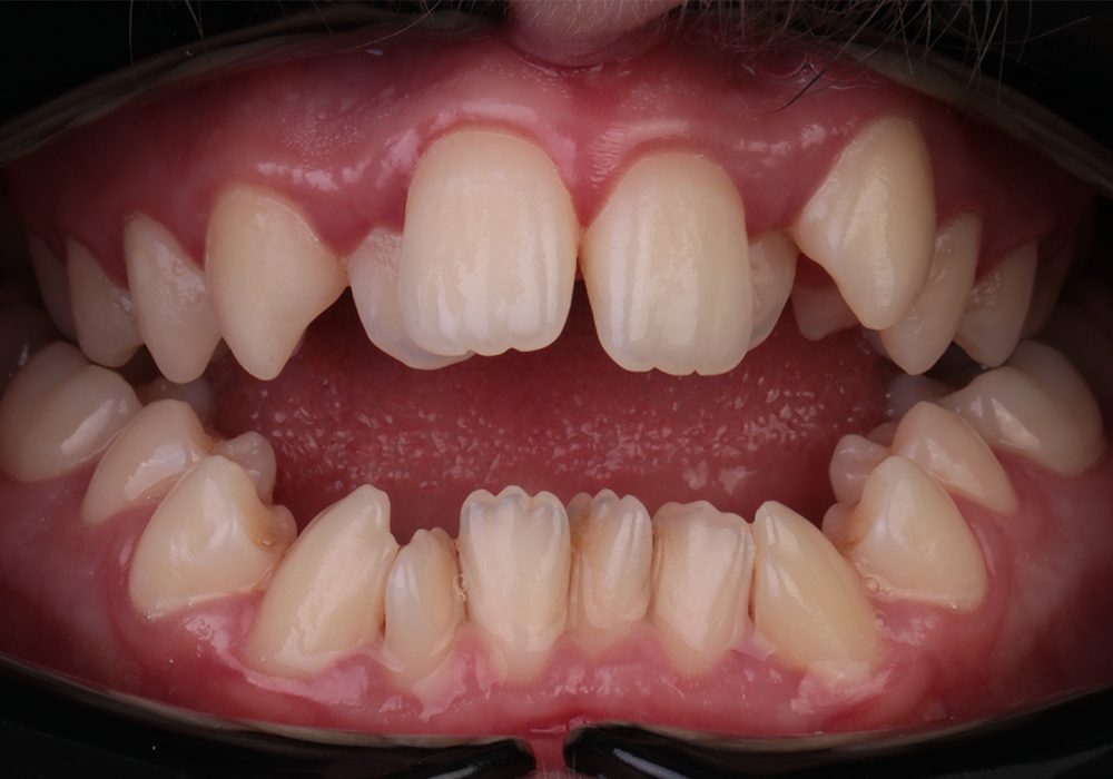
Ortodoncja – aparat stały bez usuwania zębów

Przed copy 2
Po copy 2
Przed
Po
Kategoria: Ortodoncja

Ortodoncja – aparat stały bez usuwania zębów

Lekarz prowadzący: Katarzyna Ratyńska

Shopping Cart
Scroll to Top