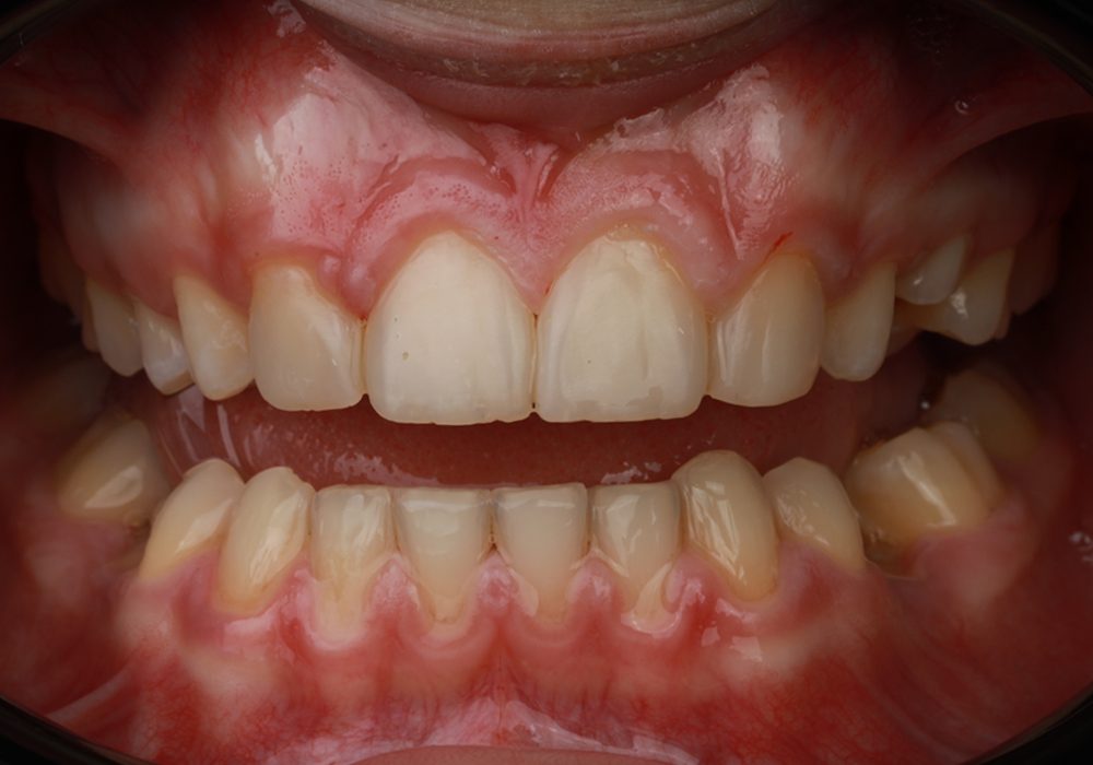
Pacjent bez zawiązków dwójek, leczenie ortodontyczne: korekta wady zgryzu – aparat tradycyjny

Przed copy
Po copy
Przed
Po
Kategoria: Ortodoncja, Odbudowa zębów - bonding

Pacjent bez zawiązków dwójek, leczenie ortodontyczne: korekta wady zgryzu – aparat tradycyjny

Ortodoncja: Katarzyna Ratyńska
Odbudowa estetyczna: Natalia Zajączkowska

Shopping Cart
Scroll to Top