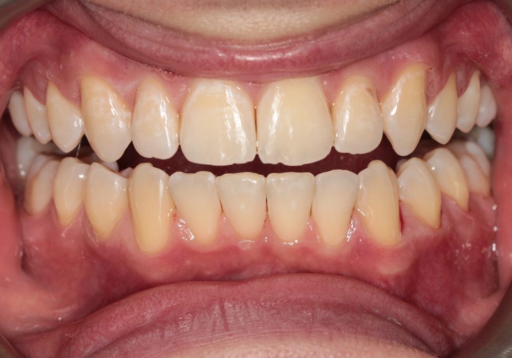
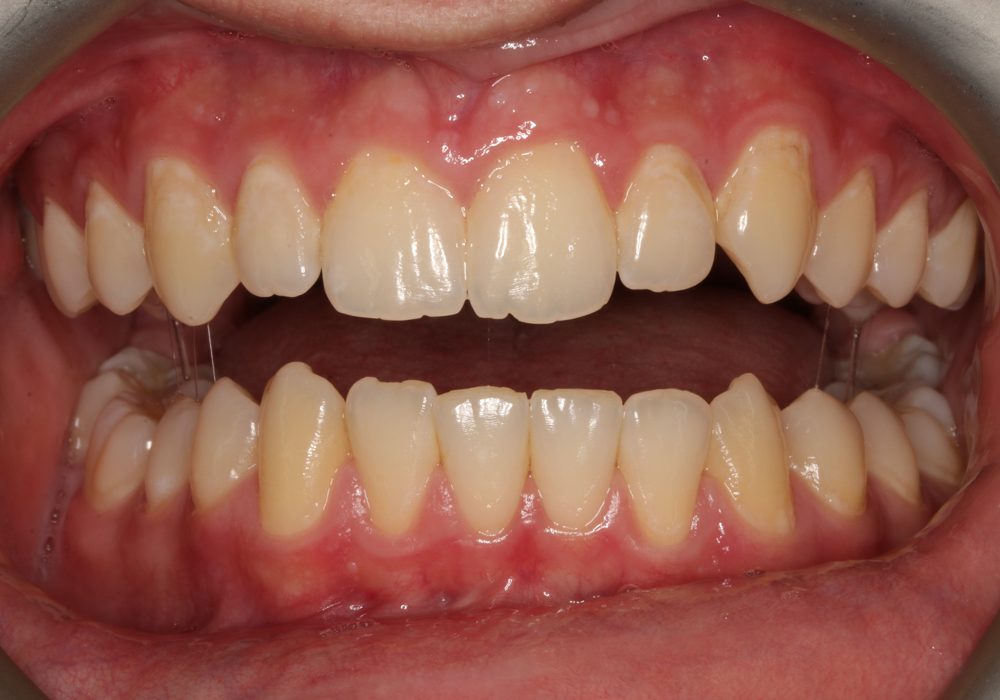
Ortodoncja – aparat stały

Przed
Po
Przed
Po
Shopping Cart
Scroll to Top