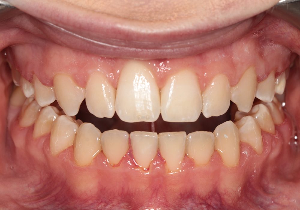
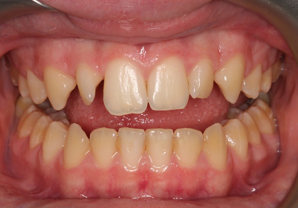
Ortodoncja – aparat stały

Shopping Cart
Scroll to Top