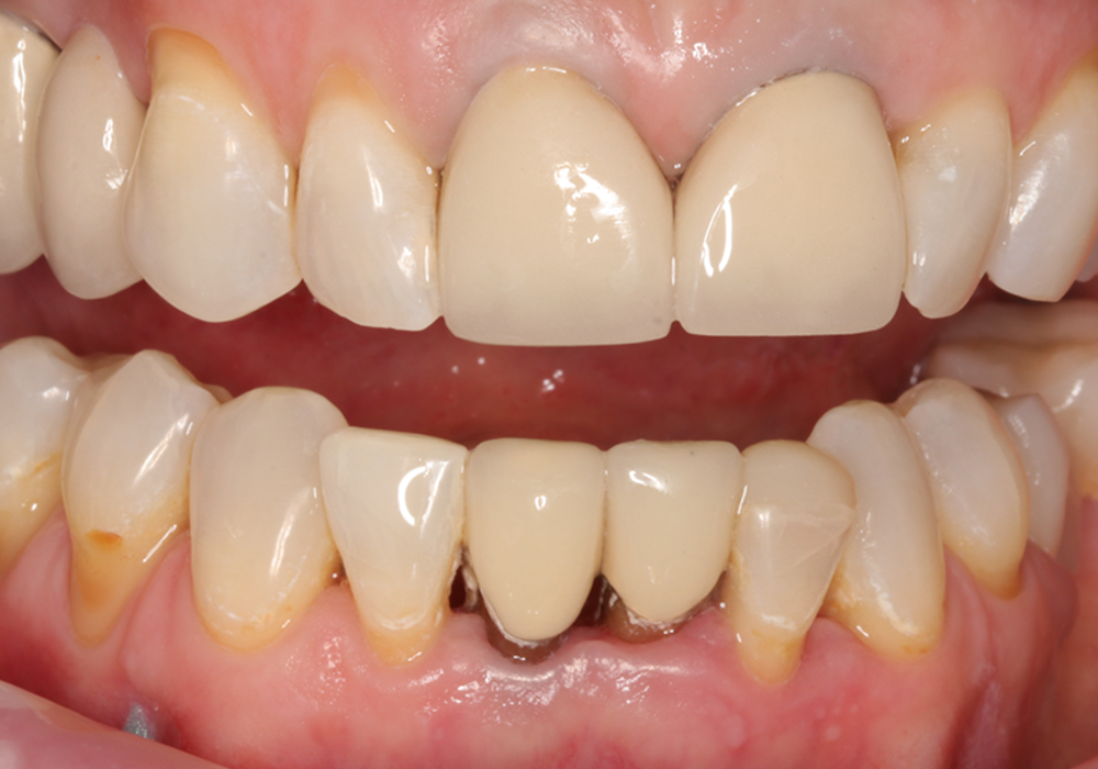
Metamorfoza ortodoncja

Przed copy 2
Po copy 2
Przed
Po
Kategoria: Ortodoncja

Metamorfoza ortodoncja

Lekarz prowadzący: Katarzyna Ratyńska

Shopping Cart
Scroll to Top