Metamorfoza ortodoncja

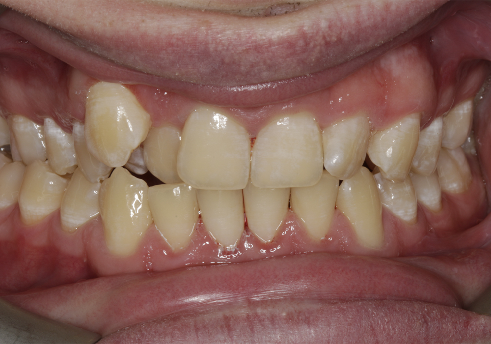
Przed
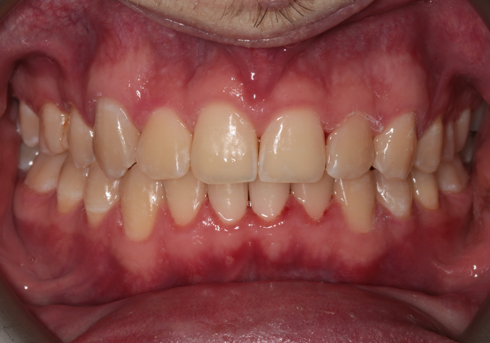
Po
Przed
Po
Kategoria: Ortodoncja

Metamorfoza ortodoncja

Lekarz prowadzący: Katarzyna Ratyńska

Shopping Cart
Scroll to Top