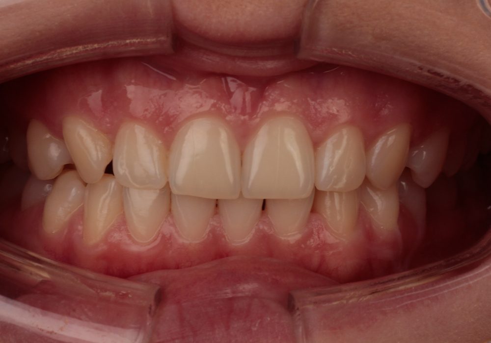
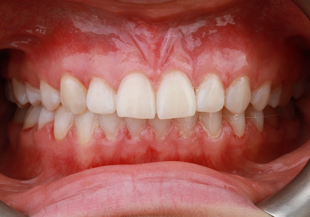
Wybielanie zębów lampą Beyond Plus Advanced oraz leczenie ortodentyczne

Shopping Cart
Scroll to Top