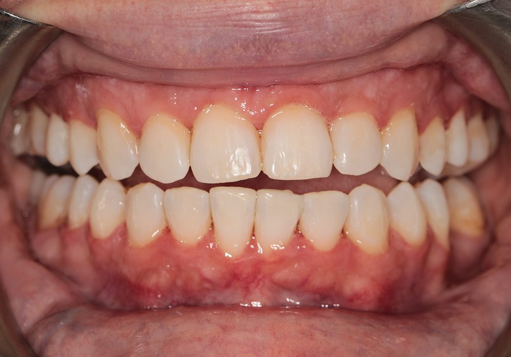
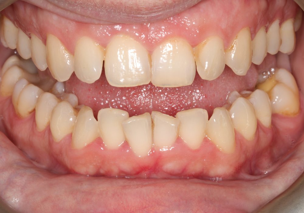
Ortodoncja – aparat stały tradycyjny + wybielanie

Przed copy
Po copy
Przed
Po
Kategoria: Ortodoncja, Wybielanie

Ortodoncja – aparat stały tradycyjny + wybielanie

Lekarz prowadzący: Katarzyna Ratyńska

Shopping Cart
Scroll to Top