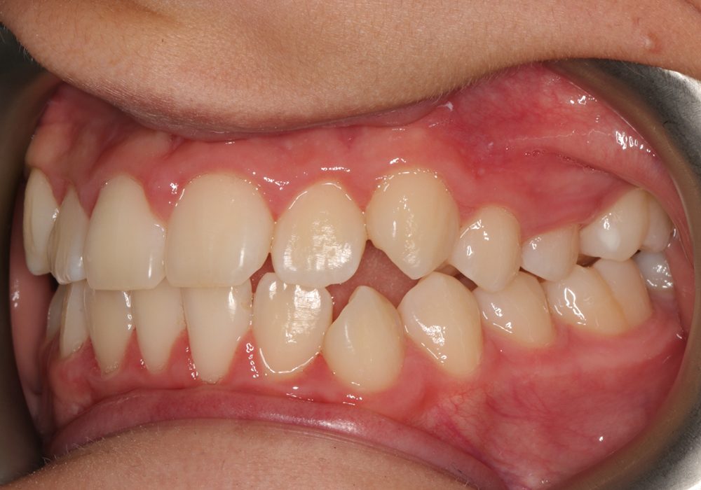
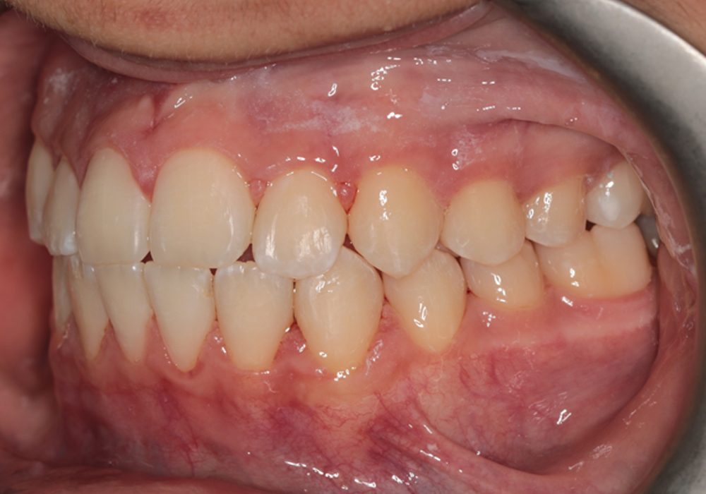
Leczenie ortodontyczne

Shopping Cart
Scroll to Top