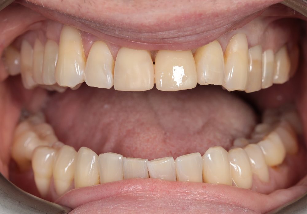
Pacjent w trakcie leczenia protetycznego. Zastosowano korony pełnoceramiczne.

Przed
Po
Przed
Po
Kategoria: Protetyka

Pacjent w trakcie leczenia protetycznego. Zastosowano korony pełnoceramiczne.

Lekarz prowadzący: Dariusz Ćwik

Shopping Cart
Scroll to Top