Ortodoncja – metamorfoza

Przed copy 2
Po copy 2
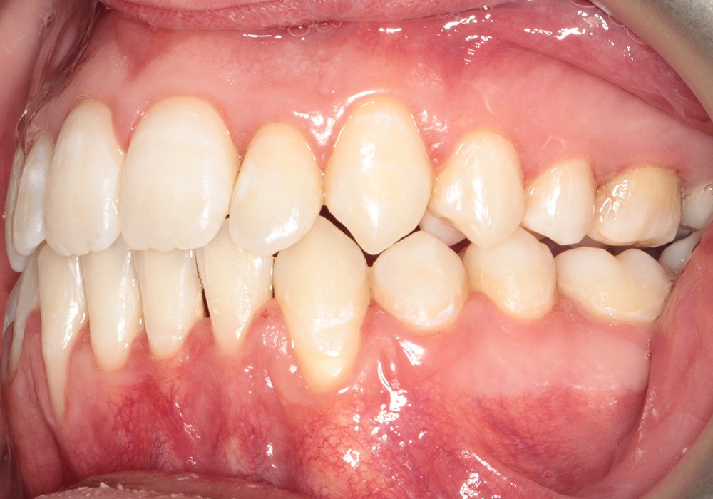
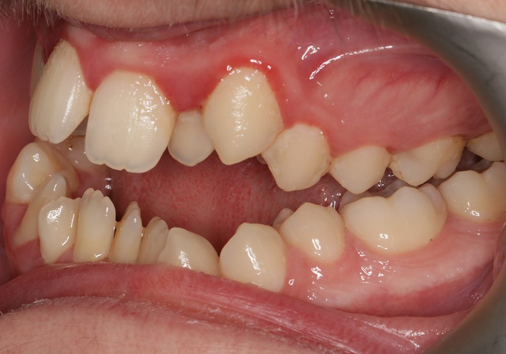
Przed
Po
Shopping Cart
Scroll to Top