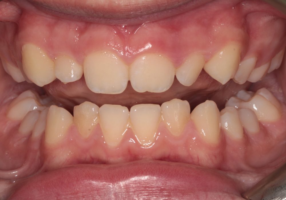
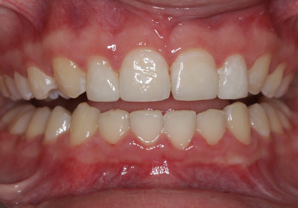
Leczenie aparatem metalowym oraz bonding w łuku górnym

Przed copy
Po copy
Przed
Po
Kategoria: Ortodoncja, Odbudowa zębów - bonding

Leczenie aparatem metalowym oraz bonding w łuku górnym

Lekarz prowadzący: Katarzyna Ratyńska

Shopping Cart
Scroll to Top