Aparat stały tradycyjny – metamorfoza

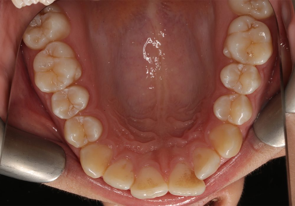
Przed copy
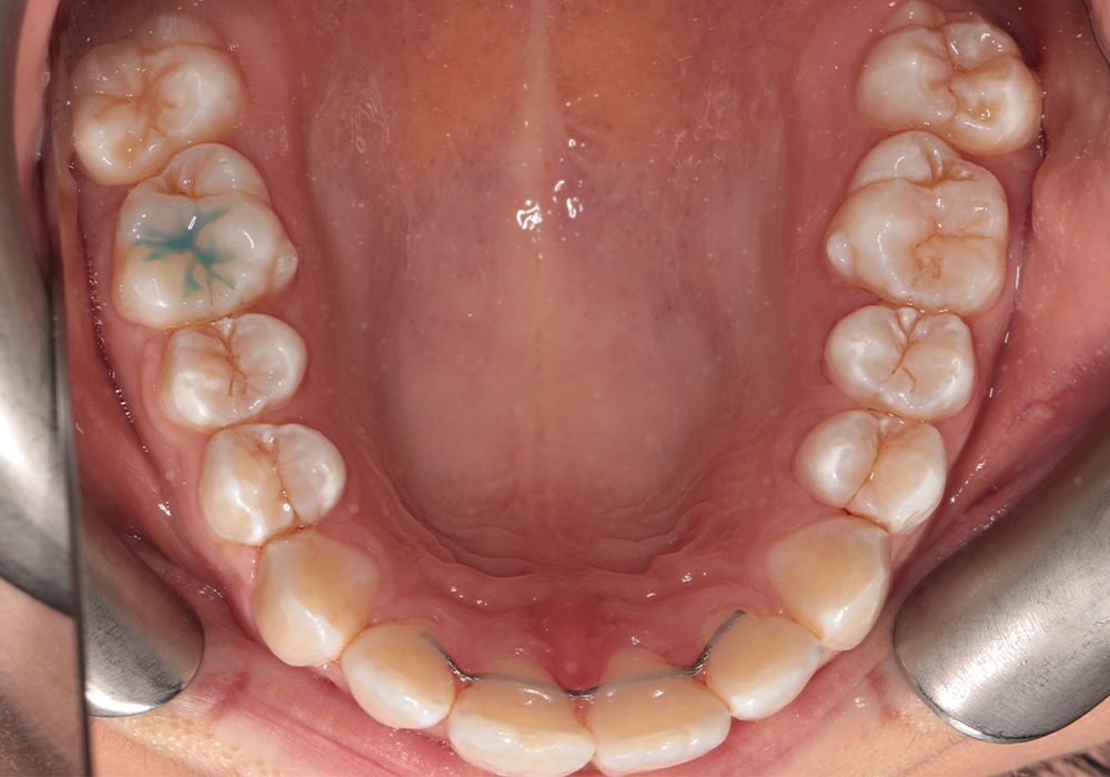
Po copy
Przed
Po
Kategoria: Ortodoncja

Aparat stały tradycyjny – metamorfoza

Lekarz prowadzący: Katarzyna Ratyńska

Shopping Cart
Scroll to Top