Ortodoncja – metamorfoza

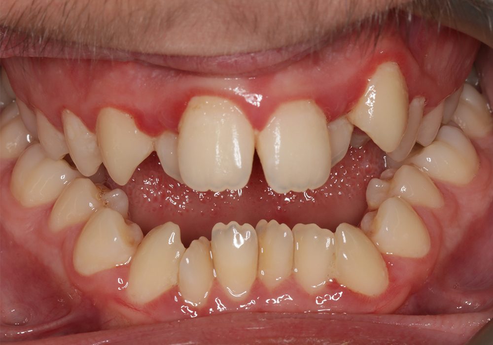
Przed copy 3
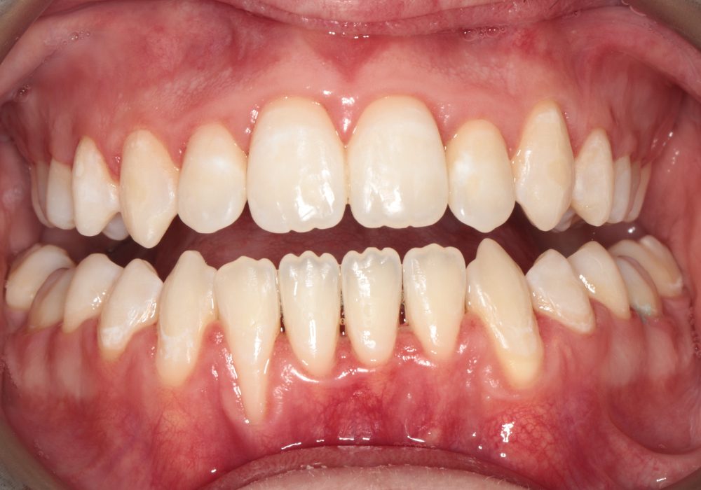
Po copy 3
Przed
Po
Kategoria: Ortodoncja

Ortodoncja – metamorfoza

Lekarz prowadzący: Katarzyna Ratyńska

Shopping Cart
Scroll to Top