Leczenie ortodontyczne

Przed copy
Po copy
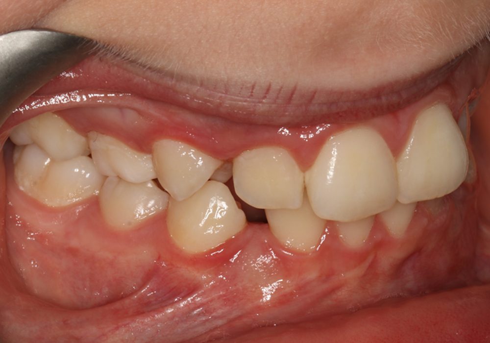
Przed
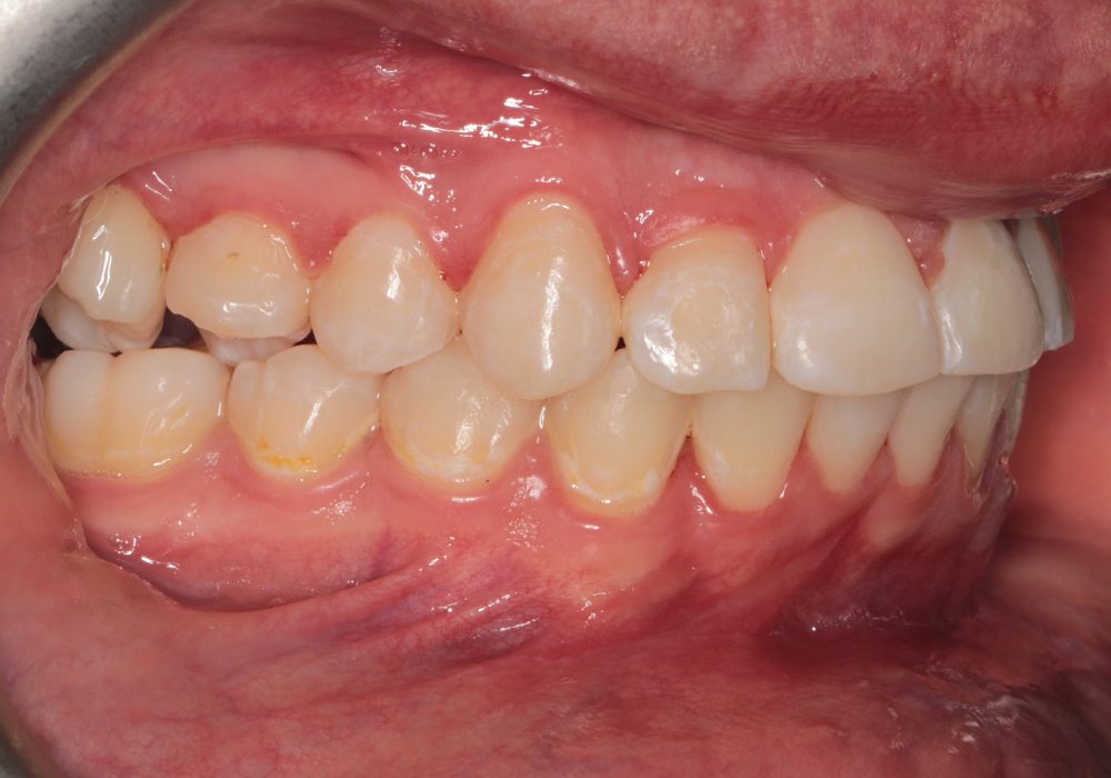
Po
Kategoria: Ortodoncja

Leczenie ortodontyczne

Lekarz prowadzący: Katarzyna Ratyńska

Shopping Cart
Scroll to Top