Metamorfoza ortodontyczna

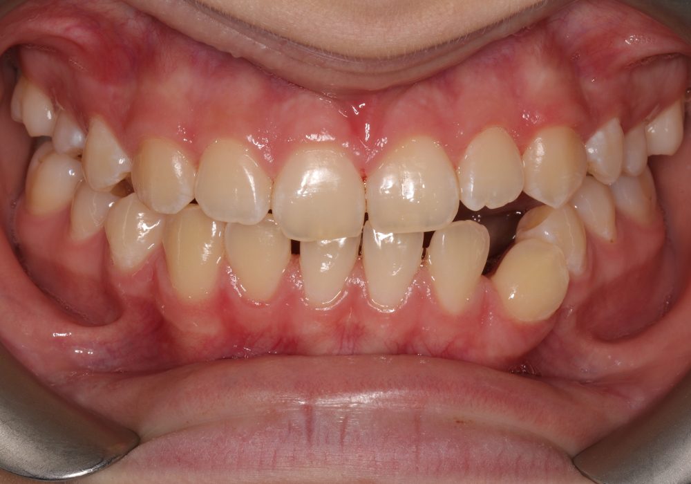
Przed copy
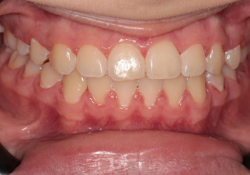
Po copy
Przed
Po
Shopping Cart
Scroll to Top