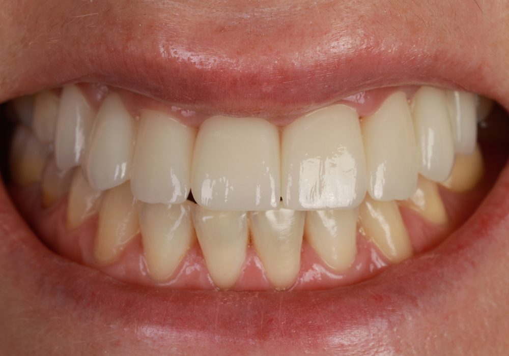
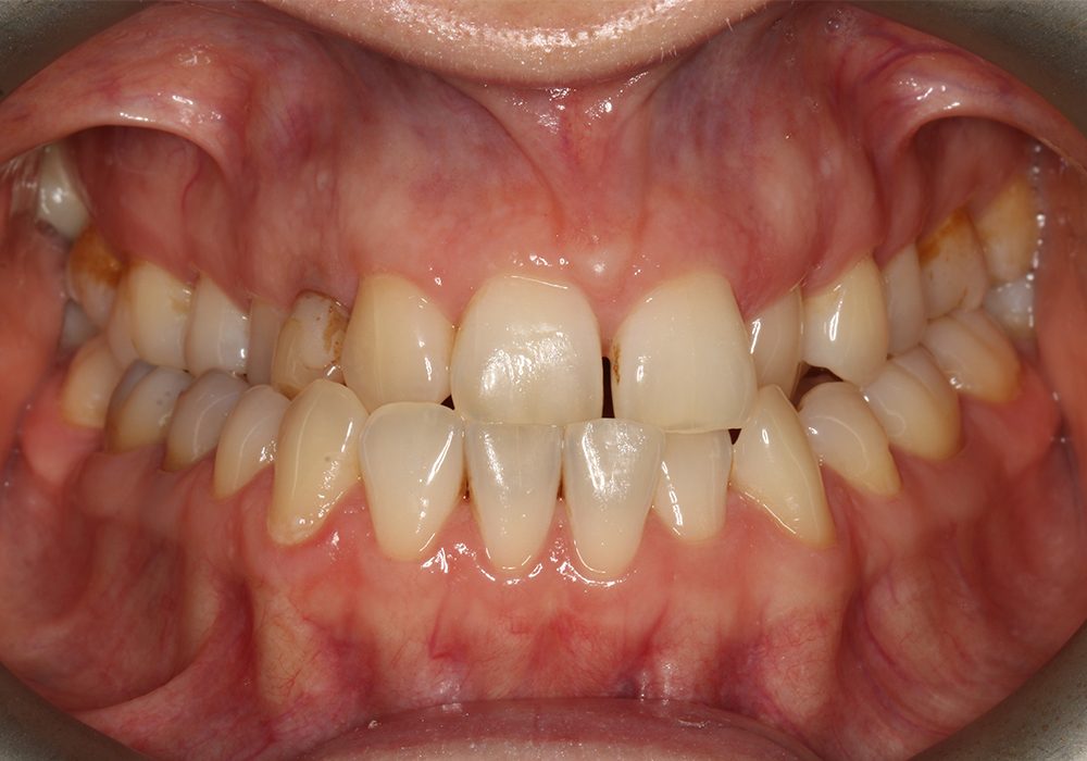
Leczenie kamuflażowe przy pomocy koron pełnoceramicznych i ortodoncji z racji na brak możliwości leczenia operacyjnego

Przed
Po
Przed
Po
Kategoria: Protetyka, Ortodoncja

Leczenie kamuflażowe przy pomocy koron pełnoceramicznych i ortodoncji z racji na brak możliwości leczenia operacyjnego

Lekarz prowadzący:
Katarzyna Ratyńska
Dariusz Ćwik

Shopping Cart
Scroll to Top