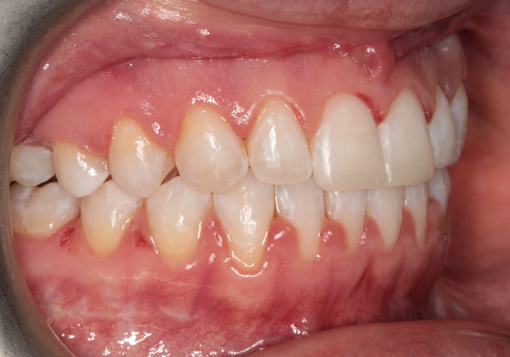
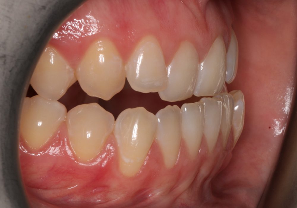
Ortodontyczne leczenie aparatem stałym

Shopping Cart
Scroll to Top