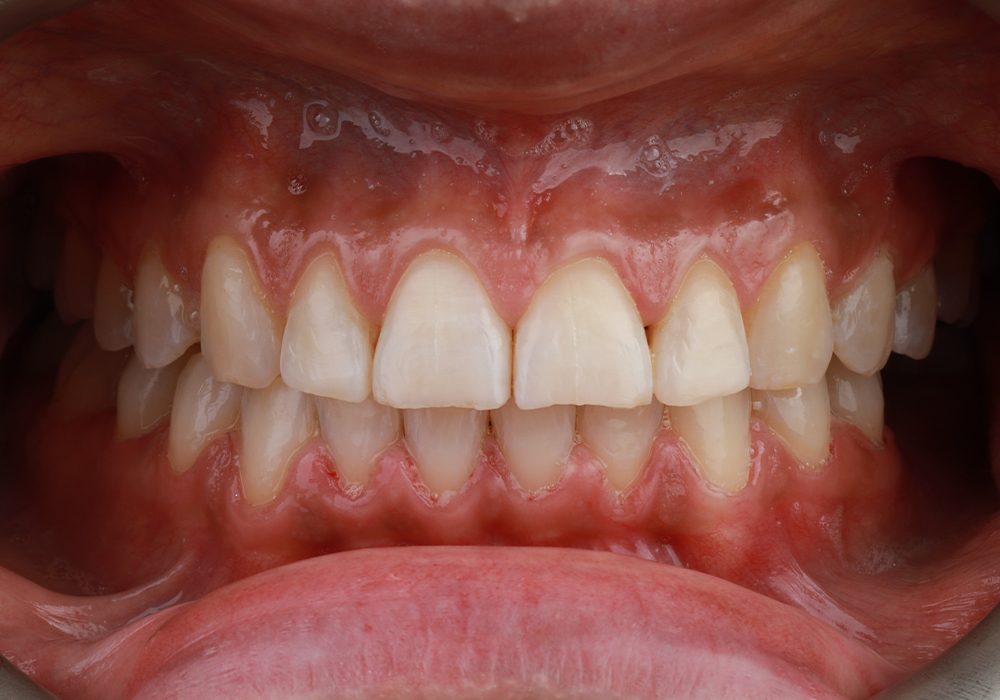
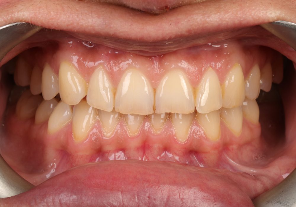
Wybielanie zębów lampą Beyond Advanced Plus oraz leczenie ortodentyczne

Przed copy 2
Po copy 2
Przed
Po
Kategoria: Wybielanie

Wybielanie zębów lampą Beyond Advanced Plus oraz leczenie ortodentyczne

Lekarz prowadzący: Katarzyna Ratyńska

Shopping Cart
Scroll to Top